|
淄博万杰质子[质子治疗病例]食管癌腹膜后淋巴结转移时间:2024-07-20 淄博万杰质子[质子治疗病例]食管癌腹膜后淋巴结转移 食管癌是一种临床上常见的恶性肿瘤,其死亡率较高,预后差。影响食道癌预后的因素较多,主要因素就是肿瘤转移和肿瘤外侵,淋巴结是食道癌转移的主要部位,其淋巴引流区域涉及颈部、胸部和腹部,对其检测和监测有着重要的临床意义。淋巴道转移是食道癌的主要转移方式,食道癌淋巴转移范围比较广泛,而且有一定的转移规律。 患者,女,72岁
2005年4月在全麻下行食管根治术,术后病理示;“食管鳞状细胞癌,髓质型,侵及外膜”,术后1月行1周期全身化疗,因患者体质弱耐受差,未行第2周期化疗。化疗后好转出院。出院后未行任何抗肿瘤治疗。 患者2009年4月出现腹部疼痛,未行特殊处理,于2009年5月疼痛加剧,出现腰部疼痛,行胸部CT提示:食管鳞状细胞癌ⅢB期(T3N2M0)术后, 1周期化疗后并腹膜后淋巴结转移,因肿瘤位置原因,未行其他治疗; 2005年4月在全麻下行食管根治术,术后病理示;“食管鳞状细胞癌,髓质型,侵及外膜”,术后1月行1周期全身化疗,因患者体质弱耐受差,未行第2周期化疗。化疗后好转出院。出院后未行任何抗肿瘤治疗。
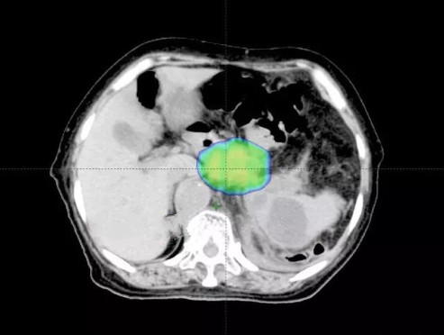
通过质子治疗病友获得质子治疗信息,为进一步诊治,来我院就诊,经全院多学科专家会诊,可行质子治疗。 质子治疗前检查图像:食道术后,腹膜后巨大肿块,累及腹腔干及分支;肿瘤大小约8.19×5.78cm,肿瘤体积为385.05cm3 ;
质子治疗剂量分布:剂量分布均匀,对周围肝脏、腹主动脉、脾脏小肠等重要组织器官起到很好的保护作用; 质子治疗三周后检查图像:肿瘤大小约6.69×5.54cm,肿瘤体积为258.2cm3,较质子治疗前体积缩小近1/3;治疗效果显著。未见明显治疗反应,病人疼痛症 状完全消失;
质子治疗前与治疗三周后图像对比:
关爱天使-儿童肿瘤质子治疗救助报名流程如下: 1·咨询电话: 救助办公室:0533-4916222 救助办公室主任:蒋主任13805334429 2·报名方式:本次报名方式仅限线上小程序,您可以关注“关爱天使质子治疗”小程序了解项目详情,进行项目报名或统一报名口(微信扫码):
3·救助流程: 3.1、专家组对患者进行线下会诊,符合减免救助标准的人员经专家组会诊同意后办理入院手续。 3.2、患者住院期间,医院按照相关规定提供合理、规范的诊疗服务。 3.3、减免费用为质子治疗费。 3.4、每月为符合救助标准的1-3名儿童肿瘤患者提供免费质子治疗(筛选条件以提交报名成功时间为准)。 |






